Unsere moderne Praxis
Nach umfangreichen Renovierung-Arbeiten und vielen Umbauten in unseren Praxisräumen - bieten wir unseren Patientinnen und Patienten eine moderne Fachärzte-Praxis in einer hellen und freundlichen Umgebung.
Unsere Behandlungsräume sind neu und modern Eingerichtet. Wir verfügen hier auch über ein Ultraschallgerät mit dem wir Muskeln, Sehnen und Bänder überprüfen können.
Behandlungszimmer 1
OP 2
Septischer OP-Raum. Zur Behandlung von infizierten Wunden.
Unser Praxis-Flur ist nach dem Umbau sehr viel heller, von hier sind alle Behandlungsräume einfach und schnell zugänglich.
Wir verfügen im Behandlungsraum auch über ein Ultraschallgerät mit dem wir Muskeln, Sehnen und Bänder überprüfen können.
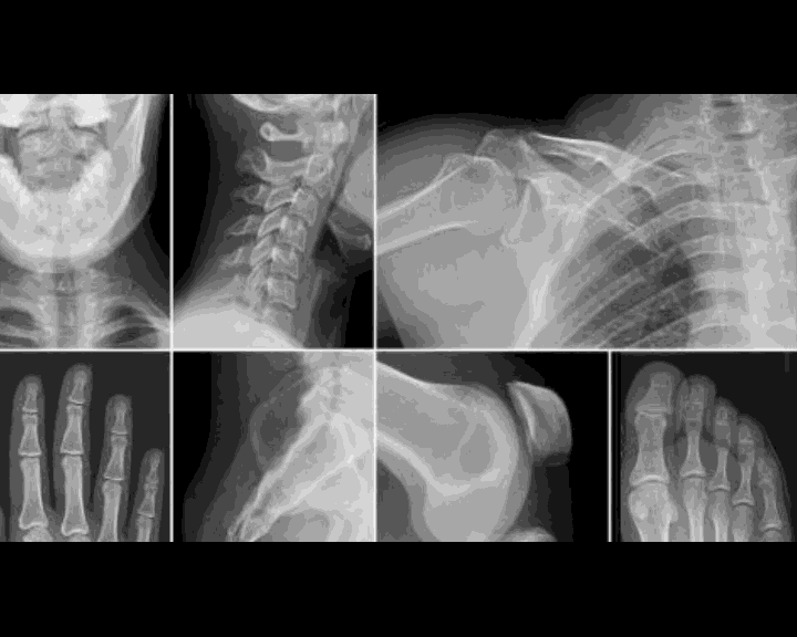
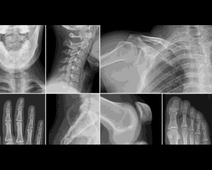
Nach umfangreicher Renovierung unserer Praxisräume finden Sie bei uns auch eine neue hochentwickelte Röntgenanlage.
Röntgenbereich
A-Septischer OP Raum. Für ambulante Eingriffe und für die Versorgung von Verbrennungen und frischen Verletzungen.
OP 1
Der Blick in Richtung Praxis-Ausgang am Ende des Flures.
Unser Wartebereich ist hell und freundlich mit einer kleinen Spielecke für Kinder und einem TV-Informationsprogramm ausgestattet. Dazu finden Sie hier auch unser Patienten-WC.










